Trusted by 10,000+ Scientists Since 2002. View Our 5-Star Google Review, Select Citations and 4,000+ Citations at Google Scholar.

Cat#

CAC13179
List Price:
$199.20

 

Quantity:

Request Information
Technical Documents:

Target Name

PTPRE

Target Synonyms

DKFZp313F1310; FLJ57799; FLJ58245; HPTPE; Protein tyrosine phosphatase epsilon; Protein tyrosine phosphatase receptor type E; Protein tyrosine phosphatase receptor type epsilon; Protein tyrosine phosphatase receptor type epsilon polypeptide; Protein-

Species

Human (Homo sapiens)

Species Reactivity

Human (Homo sapiens), Mouse (Mus musculus)

Host

Rabbit

Isotype

IgG

Clonality

Polyclonal

Immunogen

Recombinant Human Receptor-type tyrosine-protein phosphatase epsilon protein

Applications

ELISA, WB, IHC

tid

100ul,314;50ul,199.2

The Rabbit anti-human PTPRE Polyclonal Antibody (Species: Human) has been validated for the following applications: ELISA, WB, IHC. Host: Rabbit. Species: Human (Homo sapiens). Immunogen: Recombinant Human Receptor-type tyrosine-protein phosphatase epsilon protein. Applications: ELISA, WB, IHC. Accession Number: P23469. Target Synonyms: DKFZp313F1310; FLJ57799; FLJ58245; HPTPE; Protein tyrosine phosphatase epsilon; Protein tyrosine phosphatase receptor type E; Protein tyrosine phosphatase receptor type epsilon; Protein tyrosine phosphatase receptor type epsilon polypeptide; Protein-tyrosine phosphatase epsilon; PTPE; Ptpre; PTPRE_HUMAN; R PTP Epsilon; R-PTP-epsilon; Receptor-type tyrosine-protein phosphatase epsilon Restrictions: For Research Use Only. Not for use in diagnostic procedures.

Lead Time

7-11 Business Days

Accession Number

P23469

Conjugate

Unconjugated. Conjugated antibodies are available (Biotin, FITC and HRP), please inquire.

Applications

ELISA, WB, IHC

Purification

Antigen affinity purified

Concentration

Lot specific. Please inquire or refer to the datasheet included in the product pouch.

Format

Liquid

Storage

2°C to 8°C for frequent use, -20°C for 12 months. Avoid repeated freeze/thaw cycles.

Buffer

PBS, 0.02% sodium azide, 50% glycerol, pH 7.3

Expiration

12 months

Shipping Condition

Ice packs

Research Area

Signal Transduction

Quality Guarantee

This product carries the Biomatik 100% Quality Guarantee. Please refer to the Terms and Conditions for details.

Restrictions

For Research Use Only. Not for use in diagnostic procedures.

Quality Systems

This product is manufactured at ISO 9001 certified facilities.

Technical Documents

Selected Citations Featuring Biomatik's Products & Services
Last updated 2020-01-31

 

 Click here to view more selected publications citing Biomatik's fine products & services. .

 Click Google Scholar to view 3,000+ publications citing Biomatik's fine products & services. .

Western blotAll lanes: PTPRE antibody at 0.6 ug/mlLane 1: Mouse kidney tissueLane 2: Mouse brain tissueSecondaryGoat polyclonal to rabbit IgG at 1/10000 dilutionPredicted band size: 81, 75, 72 kDaObserved band size: 81 kDa
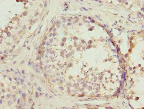
Immunohistochemistry of paraffin-embedded human testis tissue using CAC13179 at dilution of 1:100
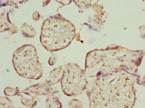
Immunohistochemistry of paraffin-embedded human placenta tissue using CAC13179 at dilution of 1:100

To edit this page simply login to the control panel, click the Website Content tab and choose the View Web Pages option. Click Edit next to the Shipping & Returns page and you can change this text. A sample returns policy is shown below which you can edit as needed.

Returns Policy

You may return most new, unopened items within 30 days of delivery for a full refund. We'll also pay the return shipping costs if the return is a result of our error (you received an incorrect or defective item, etc.).

You should expect to receive your refund within four weeks of giving your package to the return shipper, however, in many cases you will receive a refund more quickly. This time period includes the transit time for us to receive your return from the shipper (5 to 10 business days), the time it takes us to process your return once we receive it (3 to 5 business days), and the time it takes your bank to process our refund request (5 to 10 business days).

If you need to return an item, simply login to your account, view the order using the "Complete Orders" link under the My Account menu and click the Return Item(s) button. We'll notify you via e-mail of your refund once we've received and processed the returned item.

Shipping

We can ship to virtually any address in the world. Note that there are restrictions on some products, and some products cannot be shipped to international destinations.

When you place an order, we will estimate shipping and delivery dates for you based on the availability of your items and the shipping options you choose. Depending on the shipping provider you choose, shipping date estimates may appear on the shipping quotes page.

Please also note that the shipping rates for many items we sell are weight-based. The weight of any such item can be found on its detail page. To reflect the policies of the shipping companies we use, all weights will be rounded up to the next full pound.

Integer et est tellus non bibendum est. Namcos tempus turpis at metus scelerisque placerat nulla eu sollicitudin felis. Pellentesque diam dolor elementum et lobortis at mollis ut risus. Sed faucibus ullamcorper mattis. Fusce molestie elit a loremos tempus scelerisque blandit tortor cursus. Quisque dolutpat orci ut metus malesuada lorem in interdum lectus scelerisque. Praesent eu odio ut nisi ullamcorper ultricies. Cum sociis natoque penatibus et magnis dis parturient montes, nascetur ridiculus mus.

Praesent at justo congue leo adipiscing
  • Integer et est tellusInteger et est tellus non bibendum est.
  • Namcos tempusNamcos tempus turpis at metus scelerisque placerat nulla eu sollicitudin felis.
  • Pellentesque diam dolorPellentesque diam dolor elementum et lobortis at mollis ut risus.
  • Sed faucibusSed faucibus ullamcorper mattis.
  • Fusce molestie elitosFusce molestie elit a loremos tempus scelerisque blandit tortor cursus.
  • Quisque dolutpat orcisQuisque dolutpat orci ut metus malesuada lorem in interdum lectus scelerisque.
  • Praesent an modioPraesent eu odio ut nisi ullamcorper ultricies.
  • Cum sociis natoque penatibusCum sociis natoque penatibus et magnis dis parturient montes, nascetur ridiculus mus.

Subscribe to Receive Updates & Promotions from Biomatik

Top