Trusted by 10,000+ Scientists Since 2002. View Our 5-Star Google Review, Select Citations and 4,000+ Citations at Google Scholar.

Cat#

CAC15371
List Price:
$179.00
Ultra Sensitive IHC 

 

Quantity:

Request Information
Technical Documents:

Available Citations:

Target Name

RFXANK

Target Synonyms

ANKRA1; Ankyrin repeat containing regulatory factor X associated protein; Ankyrin repeat family A protein 1; BLS; DNA-binding protein RFXANK; F14150_1; MGC138628; Regulatory factor X associated ankyrin containing protein; Regulatory factor X subunit

Species

Human (Homo sapiens)

Species Reactivity

Human (Homo sapiens)

Host

Rabbit

Isotype

IgG

Clonality

Polyclonal

Immunogen

Recombinant Human DNA-binding protein RFXANK protein (3-84AA)

IHC Validation

IHC Validated

Applications

ELISA, WB, IHC, IF

tid

100ug,314;50ug,179

The RFXANK Polyclonal Antibody (Species: Human) has been validated for the following applications: ELISA, WB, IHC, IF. Host: Rabbit. Species: Human (Homo sapiens). Immunogen: Recombinant Human DNA-binding protein RFXANK protein (3-84AA). Applications: ELISA, WB, IHC, IF. Accession Number: O14593. Target Synonyms: ANKRA1; Ankyrin repeat containing regulatory factor X associated protein; Ankyrin repeat family A protein 1; BLS; DNA-binding protein RFXANK; F14150_1; MGC138628; Regulatory factor X associated ankyrin containing protein; Regulatory factor X subunit B; Regulatory factor X; ankyrin repeat containing; Regulatory factor X-associated ankyrin-containing protein; RFX Bdelta4; RFX-B; RFXANK; RFXB; RFXB delta 4; RFXK_HUMAN Restrictions: For Research Use Only. Not for use in diagnostic procedures.

Lead Time

7-11 Business Days

Accession Number

O14593

Conjugate

Unconjugated. Conjugated antibodies are available (Biotin, FITC and HRP), please inquire.

Applications

ELISA, WB, IHC, IF

Purification

>95%, Protein G purified

Concentration

Lot specific. Please inquire or refer to the datasheet included in the product pouch.

Format

Liquid

Storage

2°C to 8°C for frequent use, -20°C for 12 months. Avoid repeated freeze/thaw cycles.

Buffer

0.03% Proclin 300, 50% glycerol, 0.01M PBS, pH 7.4

Expiration

12 months

Shipping Condition

Ice packs

Research Area

Immunology

Quality Guarantee

This product carries the Biomatik 100% Quality Guarantee. Please refer to the Terms and Conditions for details.

Restrictions

For Research Use Only. Not for use in diagnostic procedures.

Quality Systems

This product is manufactured at ISO 9001 certified facilities.

Technical Documents

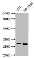
Western Blot, Positive WB detected in: 293T whole cell lysate, SH-SY5Y whole cell lysate, All lanes: RFXANK antibody at 6.7ug/ml, Secondary, Goat polyclonal to rabbit IgG at 1/50000 dilution, Predicted band size: 29, 25, 26 kDa, Observed band size: 29 kDa
IHC image of CAC15371 diluted at 1:400 and staining in paraffin-embedded human kidney tissue performed on a Leica BondTM system. After dewaxing and hydration, antigen retrieval was mediated by high pressure in a citrate buffer (pH 6.0). Section was blocked with 10% normal goat serum 30min at RT. Then primary antibody (1% BSA) was incubated at 4°C overnight. The primary is detected by a biotinylated secondary antibody and visualized using an HRP conjugated SP system.
Immunofluorescence staining of PC-3 cells with CAC15371 at 1:133, counter-stained with DAPI. The cells were fixed in 4% formaldehyde, permeabilized using 0.2% Triton X-100 and blocked in 10% normal Goat Serum. The cells were then incubated with the antibody overnight at 4°C. The secondary antibody was Alexa Fluor 488-congugated AffiniPure Goat Anti-Rabbit IgG(H+L).

To edit this page simply login to the control panel, click the Website Content tab and choose the View Web Pages option. Click Edit next to the Shipping & Returns page and you can change this text. A sample returns policy is shown below which you can edit as needed.

Returns Policy

You may return most new, unopened items within 30 days of delivery for a full refund. We'll also pay the return shipping costs if the return is a result of our error (you received an incorrect or defective item, etc.).

You should expect to receive your refund within four weeks of giving your package to the return shipper, however, in many cases you will receive a refund more quickly. This time period includes the transit time for us to receive your return from the shipper (5 to 10 business days), the time it takes us to process your return once we receive it (3 to 5 business days), and the time it takes your bank to process our refund request (5 to 10 business days).

If you need to return an item, simply login to your account, view the order using the "Complete Orders" link under the My Account menu and click the Return Item(s) button. We'll notify you via e-mail of your refund once we've received and processed the returned item.

Shipping

We can ship to virtually any address in the world. Note that there are restrictions on some products, and some products cannot be shipped to international destinations.

When you place an order, we will estimate shipping and delivery dates for you based on the availability of your items and the shipping options you choose. Depending on the shipping provider you choose, shipping date estimates may appear on the shipping quotes page.

Please also note that the shipping rates for many items we sell are weight-based. The weight of any such item can be found on its detail page. To reflect the policies of the shipping companies we use, all weights will be rounded up to the next full pound.

Integer et est tellus non bibendum est. Namcos tempus turpis at metus scelerisque placerat nulla eu sollicitudin felis. Pellentesque diam dolor elementum et lobortis at mollis ut risus. Sed faucibus ullamcorper mattis. Fusce molestie elit a loremos tempus scelerisque blandit tortor cursus. Quisque dolutpat orci ut metus malesuada lorem in interdum lectus scelerisque. Praesent eu odio ut nisi ullamcorper ultricies. Cum sociis natoque penatibus et magnis dis parturient montes, nascetur ridiculus mus.

Praesent at justo congue leo adipiscing
  • Integer et est tellusInteger et est tellus non bibendum est.
  • Namcos tempusNamcos tempus turpis at metus scelerisque placerat nulla eu sollicitudin felis.
  • Pellentesque diam dolorPellentesque diam dolor elementum et lobortis at mollis ut risus.
  • Sed faucibusSed faucibus ullamcorper mattis.
  • Fusce molestie elitosFusce molestie elit a loremos tempus scelerisque blandit tortor cursus.
  • Quisque dolutpat orcisQuisque dolutpat orci ut metus malesuada lorem in interdum lectus scelerisque.
  • Praesent an modioPraesent eu odio ut nisi ullamcorper ultricies.
  • Cum sociis natoque penatibusCum sociis natoque penatibus et magnis dis parturient montes, nascetur ridiculus mus.

Subscribe to Receive Updates & Promotions from Biomatik

Top